Efekty leczenia ortodontycznego - TwojORTODONTA.pl
Ładowanie...
  • Wyleczone przypadki
  • Zdjęcia gabinetu
  • Cennik
  • Kontakt
  • Twoj ortodonta
  • Oferta
  • Informacje dla pacjenta
  • Wyleczone przypadki


Wyleczone przypadki


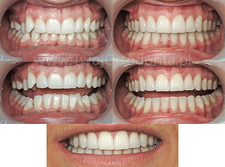
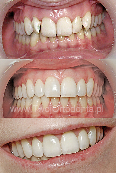
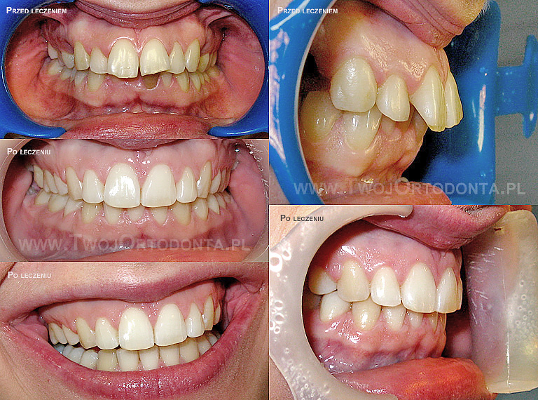
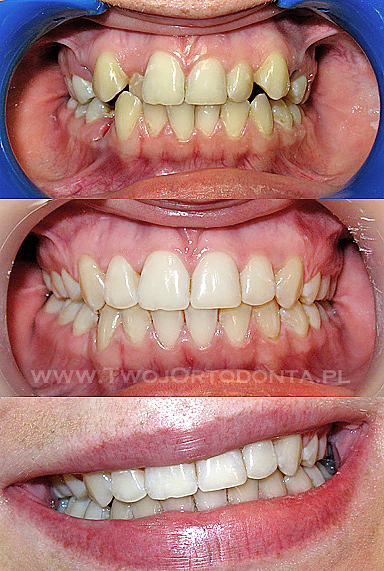
Efekty leczenia. Najważniejsze dla pacjenta ! W końcu o efekt finalny chodzi !
Szczególną uwagę warto skupić na ujęciach uśmiechu w każdym wyleczonym przypadku.
Po kliknięciu na wybrane zdjęcie można sie dowiedzieć również ile czasu zajęło wyleczenie takiej wady.
Wszystkie poniższe przypadki wyleczone w naszym gabinecie przez jednego ortodontę.









Specjalistyczny Gabinet Ortodontyczny
"Twój Ortodonta"


ul. Markowskiego 4/1B
31-881 Kraków