Stosujemy duży asortyment aparatów ortodontycznych używanych w nowoczesnej ortodoncji, w tym aparaty stałe zarówno klasyczne metalowe, jak i w kolorze zębów lub też całkowicie przezroczyste (tzw. aparaty szafirowe - zapewniające minimum widoczności aparatu przy jednoczesnym doskonałym efekcie leczniczym), miniimplanty ortodontyczne, aparaty do poszerzania szczęki typu HYRAX / HASS, przezroczyste nakładki ClearAligner i wiele innych.
Zachęcamy do odwiedzenia naszego gabinetu dzieci już w wieku 6 - 7 lat. Wczesne zdiagnozowanie wady zgryzu u dziecka może znacznie uprościć leczenie i zapobiec jej nasileniu.
Zapraszamy na konsultacje, na której specjalista ortodonta przedstawi Państwu pełną ofertę i udzieli wszelkich informacji na temat leczenia ortodontycznego.
APARAT STAŁY umożliwia bardzo precyzyjne ustawienie
zębów i jest obecnie najczęściej stosowanym aparatem na świecie zapewniającym najlepsze z możliwych efektów. Zamki mogą być wykonane ze
specjalnego stopu metalu lub
ceramiczne (w kolorze zębów lub przezroczyste tzw. szafirowe).
Foto powyżej - nowoczesne aparaty
stałe, metalowe. Możliwe jest dobranie różnych
kolorów tzw. ligatur zakładanych na zamki (również
bezbarwnych).
Foto powyżej - aparaty stałe kosmetyczne.
Foto powyżej - aparaty szafirowy -
najbardziej kosmetyczny.
Stosujemy wiele nowoczesnych aparatów zakładanych na
stałe (zwykle na kilka miesięcy). Foto poniżej aparat do poszerzania szczęki typu
HYRAX
/ HASS oraz łuk
podniebienny do utrzymania poszerzenia. Zastosowanie
nowoczesnych aparatów oraz właściwego planu leczenia
minimalizuje konieczność usuwania zębów oraz
zmniejsza konieczność współpracy z pacjentem.
Poniżej dwa przykłady zastosowania aparatu do poszerzenia szczęki typu HYRAX. Dpiero po poszerzeniu szczęki (trwającym około 4 miesiące) możliwe jest założenie aparatu stałego do wyrównania zębów. Poszerzenie szczęki tego typu jest najskuteczniejsze u pacjentów nie starszych niż około 15 lat
Często stosujemy po leczeniu
APARATY RETENCYJNE w
postaci podklejenia zębów specjalnym drucikiem,
zwalnia to pacjenta
z konieczności noszenia zdejmowanego aparatu
retencyjnego.
Drucik jest na tyle cienki, iż po tygodniu pacjent
zapomina o jego istnieniu. Dobrze przyklejony jest praktycznie bezawaryjny przez długi czas.
Jest on całkowicie niewidoczny z przodu zębów.
Pacjent z tzw.
ZATRZYMANYM ZĘBEM (sytuacja w której
ząb samodzielnie nie może pojawić się w ustach).
Zaczepiony (podczas zabiegu chirurgicznego w
znieczuleniu miejscowym) specjalny zaczep na zębie wraz z aparatem
stałym pozwala sprowadzić go i prawidłowo
ustawić. Zwykle zajmuje to od 1,5 do 2,5 lat leczenia.
Poniżej jeden z pacjentów z pokazanym przebiegiem
leczenia ortodontycznego w przypadku
zatrzymanego
prawego, górnego kła. Leczenie górnym aparatem
stałm, około 14 miesięcy.
Leczenie ortodontyczne może mieć również
wpływ na
wygląd twarzy (profil).
Pacjentka z wyraźnie WYPUKŁYM PROFILEM. Po lewej
stronie poniżej przed leczeniem ortodontycznym, zwraca uwagę
nadmierna wypukłość warg. Strona prawa po 1,5 roku
leczenia z zastosowaniem dwóch aparatów stałych oraz
usunięciu 4 zębów (2 w szczęce i 2 w żuchwie).
Profil uległ wyraźnej poprawie. Bez usunięcia zębów
w tym przypadku leczenie spowodowałoby pogorszenie
profilu na jeszcze bardziej wypukły.
MINI IMPLANT ORTODONTYCZNY

Mini śruby ortodontyczne (tzw. mini implanty ortodontyczne) są specjalnymi, niewielkich rozmiarów śrubkami
długości około 6mm i średnicy około 1.3mm.
W niektórych sytuacjach leczniczych istnieje konieczność uzyskania przesunięć zębów niemożliwych
do osiągnięcia za pomocą tradycyjnych elementów aparatów stałych. W takiej sytuacji istnieje możliwość wkręcenia
mini śruby do kości i przez kilka miesięcy (poprzez zaczepienie odpowiednich sprężynek) uzyskanie odpowiednich przesunięć zębów.
Wkręcenie mini śruby odbywa się w znieczuleniu
powierzchniowym i jest bezbolesne. Trwa zwykle
około 10 minut.
Po kilku miesiącach śruba jest wykręcana (bezbolesne)
a kość i dziąsło ulegają wygojeniu w przeciągu kilku dni bez śladu po śrubie.
Przypadek poniżej: pacjentka z bardzo dużym
(!) odstępem między górnymi a dolnymi zębami.
Wkręcone dwie miniśruby ortodontyczne w szczęce,
umożliwiły znaczne (!) cofnięcie przednich zębów,
zamykając tym samym przestrzenie po brakujących
zębach oraz korygując wadę zgryzu. Bez użycia
miniśrub nie udałoby się tego dokonać.
Powyżej strona lewa przed leczeniem, znaczna
wada zgryzu. Po prawej po leczeniu.
WYBIELANIE ZĘBÓW - stosujemy od wielu lat,
sprawdzoną, bezpieczną
i dającą bardzo dobre rezultaty nakładkową metodę
wybielania. Daje ona możliwość kontroli nad
intensywnością wybielenia i jest najbezpieczniejsza
dla uzębienia. Pacjent dostaje do domu komplet
specjalnych, przezroczystych szyn do zakładania na
zęby (foto poniżej) oraz kilka opakowań specjalnego
żelu. Wyraźny efekt wybielenia jest już widoczny po
dwóch użyciach.
Foto powyżej - wybielone nakładkowo zęby
(przed i po wybielaniu)
Szyny do wybielania - indywidualnie robione dla
każdego Pacjenta starczające na wiele cyklów
wybielania.
Powyżej. Przygotowanie ortodontyczne do wszczepienia
implantu zębowego. Leczenie ortodontyczne polega
na przygotowaniu odpowiedniej przestrzeni i
ustawieniu zębów w taki sposób by móc wszczepić
implanty brakujących zębów. W powyższym przypadku
pacjentka miała wrodzony brak obydwu górnych dwójek.
Leczenie ortodontyczne, trwające około 10 miesięcy
umożliwiło odtworzenie miejsca i prawidłowe
ustawienie zębów. W końcowej fazie wszczepiono dwa
implanty zębów (górne dwójki).
Powyżej - dwa przykłady pacjentów z
brakiem górnych dwójek. Strzałkami zaznaczono KŁY, przed i po korekcie kształtu i ich ustawienia.
Jednymi z często brakujących od urodzenia zębów są górne dwójki stałe. W przypadku ich braku, nie zawsze trzeba uzyskiwać miejsce na wykonanie implantu brakującego zęba.
Często dobry efekt estetyczny można uzyskać zmieniając kształt stojącego w pobliżu kła, upodabniając go do brakującej dwójki i ustawiając go ortodontycznie w miejscu brakującej dwójki.
Takie działanie ma następujące zalety:
1. brak konieczności wykonywania implantów (oszczędność pieniędzy)
2. możliwość pełnego zakończenia leczenia w młodym wieku pacjenta (to ważne bo implanty można dopiero wkręcić PO UKOŃCZENIU około 18 roku życia !!!).
3. dobry efekt estetyczny (po wielu latach efekt estetyczny jest często lepszy niż w przypadku implantów).
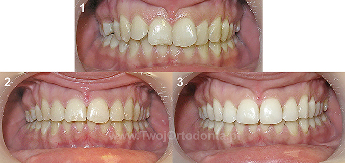
Powyżej przykład zębów które po leczeniu ortodontycznym wymagały odbudowania ich brzegów. Najczęściej dzieje się tak w wyniku krzywego ścierania się zębów krzywo ustawionych.
1 - przed leczeniem ortodontycznym, zęby krzywo ustawione oraz widoczne nierówne ich brzegi
2 - po leczeniu ortodontycznym trwającym około 15 miesięcy, zęby już proste, ale ich wygląd nie jest dobry
3 - po odbudowie brzegów zębów materiałem kompozytowym. Jest to bardzo popularny materiał w stomatologii służący także do wykonywania "zwykłych" plomb w zębach. Odbudowa polega na doklejeniu brzegów w odpowiednim kolorze. Jest to najczęściej bardzo trwałe (wytrzymuje nawet 10 lat) oraz estetyczne.